首个成功植入的3D打印胸骨
中国西安唐都医院,医生成功将3D打印钛合金胸骨植入一名54岁的女性患者体内。
去年,河南省洛阳市的顾女士开始觉得胸痛,并发现胸部有一个不寻常的肿块。她多处求医,最后发现在她的胸骨处长了一颗肿瘤。顾女士被转到唐都医院高级外科医生王小平处。顾女士的肿瘤直径达6~7厘米,使其呼吸急促,严重影响了她的外貌。鉴于此,医生建议她切除胸骨。
“一旦切除胸骨,心脏将失去保护。”王小平医生说,“传统的手术切除胸骨之后,患者将不能去拥挤的地方,甚至不能拥抱自己所爱的人,严重的话甚至会昏倒。”胸骨覆盖和保护我们的心脏,因此你可以想象切除胸骨会带来怎样的严重后果。医生开始计划使用3D技术来解决这一难题。
风险评估很快完成,超声诊断科曹铁生教授及其3D打印团队开始创建顾女士肿瘤的3D模型。由于肿瘤既小又不规则,精确3D形状具有很大的挑战。站在顾女士的立场上,他们开始寻找具有相似骨结构、身高和体重的女性。比对之后,他们开始收集选定女性的胸部数据,并开始将这些数据与顾女士进行结合。数周之后,他们完成了顾女士胸骨的3D模型。
曹铁生教授及其团队做了一个1:1的3D打印塑料模型,来验证他们收集到的数据对3D打印钛合金模型的制作而言是准确和适用的。唐都医院3D打印团队联系了西北工业大学(Northwestern Polytechnical University)材料科学与工程学院(the School of Materials Science and Engineerin)凝固技术国家重点实验室(State Key Laboratory of Solidification Processing),并委托其制作3D打印植入钛合金胸骨模型。
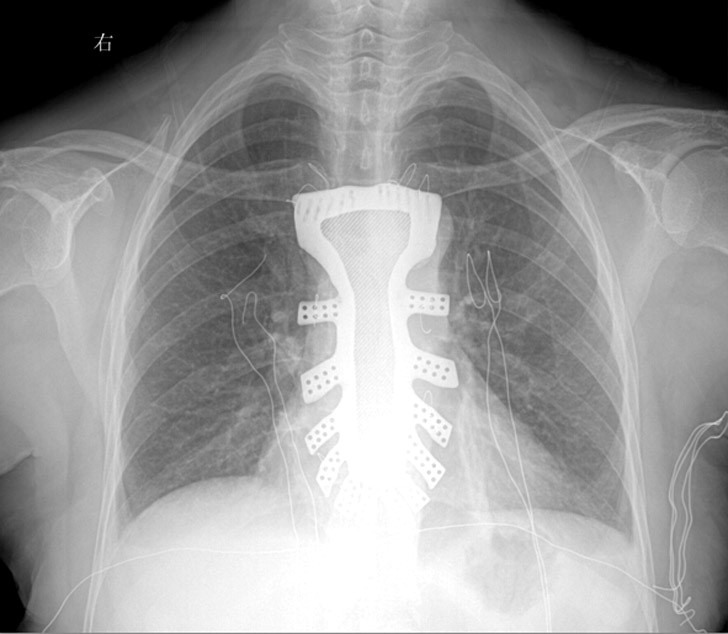
6月22日,该团队收到钛合金植入体之后马上准备手术,这张图片是植入后的情形。顾女士已经恢复,且无任何并发症,我们祝福她。
新材料在线编译整理——翻译:菠菜 校正:摩天轮
- 上一篇 >发行规模大增 2022年绿色债券市场扩容可期2022-02-17
- < 下一篇将二氧化碳转化为绿色能源电池2016-03-07

